Dierenartsenpraktijk Baert-Holsters
Enkel het allerbeste voor uw huisdieren
Jarenlange ervaring
Bij DAP Baert-Holsters zijn uw huisdieren in de betrouwbare handen van dierenartsen met meer dan 15 jaar ervaring.
Erica heeft na het afstuderen in 2005 onmiddellijk een eenjarig "Small animal rotating internship" met succes afgerond op de Faculteit diergeneeskunde te Gent.
Bert heeft eerst in verscheidene kleine huisdierenpraktijken gewerkt over gans het land en heeft vanaf het prille begin elke operatie in de eigen praktijk uitgevoerd.
Hecht team
Erica en Bert werken al van in het begin samen en kunnen samen iedere uitdaging aan, zodat u zich nooit zorgen hoeft te maken.
Erica doet alle consultaties, zodat jullie steeds dezelfde dierenarts te woord krijgen. Bij operaties onderhoudt zij de anesthesie van uw huisdier, zodat Bert zich volop kan concentreren op het snel, veilig en efficiënt uitvoeren van de operatie.
Gediplomeerd
Onze dierenartsen zijn niet enkel erkend in België, maar in heel Europa, dankzij de uiteenlopende opleidingen en diploma's. Erica heeft in 2023 de titel "Vakdierenarts Kleine huisdieren", een extra doorgedreven opleiding die 2 jaar duurt, met grootste onderscheiding behaald.
Bert heeft in 2024 de 10 dagen durende opleiding "Abdominale echografie van hond en kat" afgerond.
Uw ervaren dierenarts in Wetteren
Welkom op de officiële website van dierenartsenpraktijk Baert-Holsters.
Met meer dan 15 jaar aan ervaring bieden wij een ruime waaier aan diensten en behandelingen aan, met name voor kleine huisdieren. Denk daarbij aan honden en katten, maar ook knaagdieren, konijnen en reptielen. Wij zijn altijd samen aanwezig in de praktijk en werken al sinds de opstart van de praktijk in 2006 samen. We zijn dus perfect op elkaar ingespeeld, zodat u zich geen zorgen hoeft te maken wanneer uw huisdier nood heeft aan zorg.
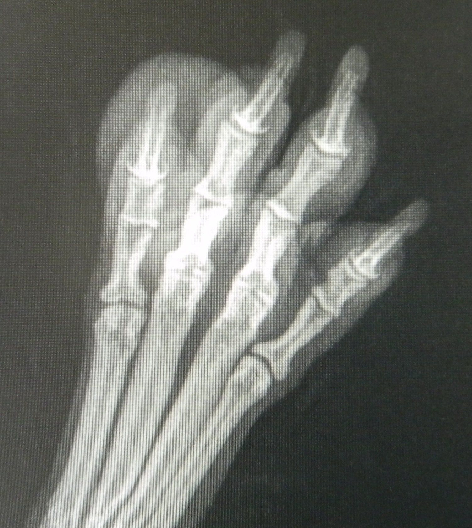
Een bijkomend voordeel is dat verschillende diagnostische technieken binnen de kleine dierengeneeskunde allemaal mogelijk zijn in onze praktijk zelf, waaronder bloedanalyses, urineanalyses, digitale radiografie, dentale radiografie en echografie. Wij beschikken over een wachtzaal, een consultatieruimte, een operatiezaal, mogelijkheden voor volledige hospitalisatie en een ruime parking, en wij zijn iedere dag (maandag-vrijdag) bereikbaar van 8 uur 's ochtends tot 19 uur 's avonds.
Buiten deze openingsuren kan u altijd terecht bij de dierenarts van wacht van de Wetterse wachtdienst op het nummer 09/277.10.30
Voor meer informatie kan u altijd gerust contact met ons opnemen.
De diensten van onze dierenartsenpraktijk
Het is altijd onze prioriteit om zowel u als uw huisdier op uw gemak te stellen in onze praktijk. Het is dan ook belangrijk voor ons om ervoor te zorgen dat u en uw huisdier zich comfortabel voelen bij ons en dat u weet wat u aan ons heeft. Daarom werken we met een breed dienstenaanbod en kan u bij ons, onder andere, terecht voor:
Uw vertrouwde dierenarts
Bij dierenartsenpraktijk Baert-Holsters zijn dieren niet enkel ons vak, maar ook onze grote passie. Dat willen we ook laten blijken in alles wat we doen, van onze dienstverlening en ons dienstenaanbod tot de omgang met uw huisdier en de opvolging na een eventuele behandeling. Het is dan ook een genoegen voor ons om u via de onderstaande galerij een beetje kennis te laten maken met onze praktijk en onze lieve "klanten".
Nood aan een dierenarts in Wetteren? Maak meteen een afspraak bij Dierenartsenpraktijk Baert - Holsters








